Feb 22nd – Magnetic sphincter augmentation was effective in reducing esophageal acid exposure and improved quality of life in gastric reflux patients.
[tabs tab1=”2MM Rundown” tab2= “2MM Full Report”]
[tab]
Image: CC/Steven Fruitsmaak
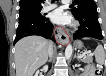
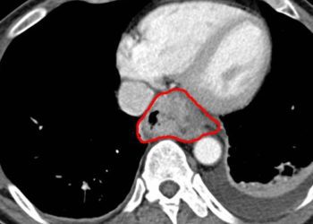
1. Magnetic sphincter augmentation was effective in reducing esophageal acid exposure, symptoms and proton pump inhibitor (PPI) use in gastroesophageal reflux disease (GERD) patients.
This study demonstrated that magnetic augmentation of the lower esophageal sphincter could be an effective treatment for GERD. The study demonstrated both clinical reduction in acid reflux reduction and improvements in quality of life, as well as a large reduction in PPI use.
Due to the link between esophageal acid damage and cancer, magnetic sphincter augmentation is a novel treatment option that could reduce long term complications of GERD in patients that had only partial response to PPIs and cannot tolerate fundoplication or other surgeries.
Given the small sample size and the short follow-up time of only 3 years post-op, future studies of a larger scale could further establish the safety profiles as well as efficacy compared to other treatment modalities.
Click to read the study in NEJM
[/tab]
[tab]
Image: CC/Steven Fruitsmaak
1. Magnetic sphincter augmentation was effective in reducing esophageal acid exposure and improved quality of life in gastric reflux patients.
This [prospective cohort] study investigated the effectiveness of magnetic sphincter augmentation in treating gastroesophageal reflux disease (GERD). The study followed 100 GERD patients who received laparoscopic implantation of a circular magnetic device. The device augments the lower esophageal sphincter and reduces acid reflux. The study focuses on the clinical benefits of this procedure, and no control group was established.
In terms of clinical efficacy, the procedure achieved a reduction of at least 50% esophageal acid exposure in 64% of patients (95% confidence interval [CI], 54 to 73). Additionally, the procedure achieved a reduction of 50% or more in the average daily dose of proton-pump inhibitors (PPIs) in 93% of patients (95% CI, 86 to 97).
In terms of quality of life impact, the study used GERD-Health-Related Quality of Life questionnaire to quantify improvements, with a reduction of score indicating improvement. 92% (95% CI, 85 to 97) of patients had a 50% reduction in score.
In sum: This study demonstrated that magnetic augmentation of the lower esophageal sphincter could be an effective treatment for GERD. The study demonstrated both clinical reduction in acid reflux reduction and improvements in quality of life.
Due to the link between esophageal acid damage and cancer, magnetic sphincter augmentation is a novel treatment option that could reduce long term complications of GERD in patients that had only partial response to PPIs and cannot tolerate fundoplication or other surgeries.
Given the small sample size and the short follow-up time of only 3 years post-op, future studies of a larger scale could further establish the safety profiles as well as efficacy compared to other treatment modalities.
Click to read the study in NEJM
By Xiaozhou Liu and Mitalee Patil
More from this author: Neurostimulation beneficial in Parkinson’s disease with early motor complications, Rivaroxaban has no net clinical benefit over enoxaparin for thromboprophylaxis in acutely ill patients, Long term functional outcomes similar with surgery, radiotherapy in prostate cancer patients
© 2013 2minutemedicine.com. All rights reserved. No works may be reproduced without written consent from 2minutemedicine.com. Disclaimer: We present factual information directly from peer reviewed medical journals. No post should be construed as medical advice and is not intended as such by the authors or by 2minutemedicine.com. PLEASE SEE A HEALTHCARE PROVIDER IN YOUR AREA IF YOU SEEK MEDICAL ADVICE OF ANY SORT. Content is produced in accordance with fair use copyrights solely and strictly for the purpose of teaching, news and criticism. No benefit, monetary or otherwise, is realized by any participants or the owner of this domain.
[/tab]
[/tabs]




