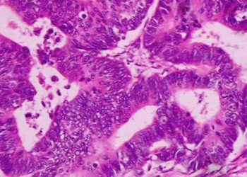
Neoadjuvant therapy regimen improves outcomes in high-risk intrahepatic cholangiocarcinoma
1. In a randomized phase 2–3 trial of patients with resectable high-risk intrahepatic cholangiocarcinoma, neoadjuvant therapy with gemcitabine–oxaliplatin, lenvatinib, and ...


![ABCD2 Score: Predicting Early Stroke Risk After Transient Ischemic Attack (TIA) [Classics Series]](https://www.2minutemedicine.com/wp-content/uploads/2013/05/web-cover-classics-with-logo-medicine-BW-small-jpg-350x250.jpg)



