Phosphodiesterase 4 inhibitor BI 1015550 preserves lung function in pulmonary fibrosis patients
1. In idiopathic pulmonary fibrosis (IPF) patients, phosphodiesterase 4 inhibitor BI 1015550 prevented decline in lung function compared to a ...
1. In idiopathic pulmonary fibrosis (IPF) patients, phosphodiesterase 4 inhibitor BI 1015550 prevented decline in lung function compared to a ...
1. Patients who underwent segmentectomy reported a significantly greater 5-year overall survival than those who underwent lobectomy (94.3% vs. 91.1%). ...
1. Five-day treatment of community-acquired pneumonia in children was comparable to standard, 10-day treatment. Evidence Rating Level: 2 (Good) Community-acquired pneumonia ...
Originally published by Harvard Health. What Is It? Carcinoid tumors have been called “cancers in slow motion” because they grow ...
Image: PD 1. There was no difference in overall survival of patients with brain metastases from EGFR-mutant lung adenocarcinoma receiving ...
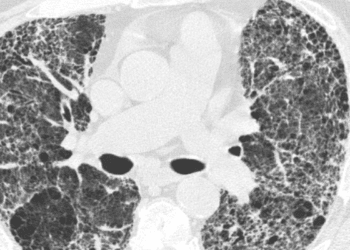
Image: PD/ Fibrotic lung 1. Ambrisentan is ineffective in delaying disease progression in idiopathic pulmonary fibrosis (IPF). 2. Compared to placebo, ...
2 Minute Medicine® is an award winning, physician-run, expert medical media company. Our content is curated, written and edited by practicing health professionals who have clinical and scientific expertise in their field of reporting. Our editorial management team is comprised of highly-trained MD physicians. Join numerous brands, companies, and hospitals who trust our licensed content.