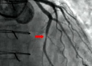
Optical coherence tomography-guided angioplasty reduces adverse events compared to angiography guidance
1. Major cardiac events were significantly lower in the OCT-guided group compared to the angiography-guided group. 2. Stroke, bleeding events, ...






