Image: PD
In this section, we will highlight the key high-impact studies, updates, and analyses published in medicine during the past week.
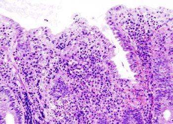
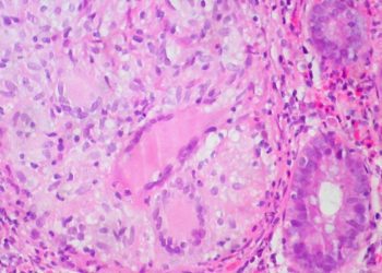
Vedolizumab as Induction and Maintenance Therapy for Ulcerative Colitis
Vedolizumab as Induction and Maintenance Therapy for Crohn’s Disease
Vedolizumab is a humanized monoclonal antibody targeting α4β7 integrin, which modulates gut lymphocyte trafficking and has shown efficacy for symptomatic relief in ulcerative colitis and Crohn’s disease in smaller phase II trials. Although similar in target to natalizumab (Tysabri), which antagonizes α4β1 and α4β7 integrin interactions to modulate CNS lymphocyte trafficking and has been used to treat MS, vedolizumab is reputed to have more gut specificity and avoid the limiting side effects of PML by JC polymoavirus reactivation. In these two phase 3 randomized, double blinded, placebo control trials, patients with active ulcerative colitis and Crohn’s disease were randomized to vedolizumab or placebo induction and maintenance therapy. In the ulcerative colitis induction trials, there was a statistically significant difference in clinical response (47.1% vs. 25.5%, p < 0.001) and a greater proportion of patients receiving vedolizumab had clinical remission (16.9% vs. 5.4%, p = 0.001). Similarly, for Crohn’s diease patients, there was a greater proportion of clinical remission at 6 weeks (14.5% vs. 6.8%, p = 0.02). For the ulcerative colitis maintenance trials, at one year there was a greater proportion of clinical remission in patients recieiving vedolizumab every 8 weeks and 4 weeks compared to placebo (41.8% vs. 44.8% vs. 15.9%, p < 0.001 for both comparisons). Results were similar for Crohn’s disease patients (39.0% for q8weeks, 36.4% for q4weeks, 21.6% for placebo, p < 0.001 and p = 0.004 respectively). No cases of PML were found in either study, however there were more serioud adverse events for Crohn’s disease patients receiving vedolizumab. Vedolimuzab potentially be an efficacious addition to the compendium of pharmacologic treatments for ulcerative colitis and Crohn’s disease.
Association Between Urinary Albumin Excretion and Coronary Heart Disease in Black vs White Adults
Urinary albumin excretion has been associated with increased incident stroke risk and has more prevalent in black individuals than white individuals. In this prospective cohort study of US adults <35 years old, study participants (n = 28196) were stratified into patients with or without coronary heart disease and followed for a mean time of 4.4 years. The investigators found an almost 1.5x relative risk of incident CHD events in black participants with high urinary albumin-to-creatinine ratio (20.59 events per 1000 person-years) compared to white participants with high urinary albumin-to-creatinine ratio (13.60 events per 1000 person-years). For black participants, high urinary albumin-to-creatinine ratio was associated with greater risk of CHD events (HR comparing albumin-to-creatinine ratio of >300mg/g vs. <10mg/g, 3.21 [95% CI, 2.02-5.09]). Investigators concluded higher urinary albumin-to-creatinine ratio was associated with greater risk of incident but not recurrent CHD in black individuals when compared with white individuals.
Improved Blood Pressure Control Associated With a Large-Scale Hypertension Program
Kaiser Permanente Northern California (KPNC), an integrated health care delivery system, implemented a large scale hypertension program including a registry including more than 652,763 patients between 2001 and 2009, sharing of performance metrics, medical assistant visits for blood pressure measurement, and single-pill combination pharmacotherapy. In the time studied, there was an increase in the proportion of patients with good hypertension control from 43.6% in 2001 to 80.4% in 2009. This is greater compared to a comparison group from the National Commity for Quality Assurance quality measure reporting process (55.4% to 64.1% between 2006-2009 in California and 63.4% to 69.4% nationally). Investigators report the use of evidence based practice guidelines with algorithms, single pill combination therapy with lisinopril-HCTZ, and medical assistant follow-up measurements after medication changes as components of their comprehensive hypertension program which could have improved efficacy.
Blood Pressure and Mortality in U.S. Veterans With Chronic Kidney Disease: A Cohort Study
Patients with chronic kidney disease disproportionally have hypertension compared to the general public. While there are specific blood pressure goals for diabetics and the general public, the ideal blood pressure for patients with CKD is unknown. In this study, investigators retrospectively looked at VA patients between 2005 and 2012 with a diagnosis of chronic kidney disease and looked for associations with all-cause mortality. Patients with systolic blood pressure between 130-159mmHg and diastolic blood pressure between 70-89mmHg at routine outpatient visits had lower mortaility rates than patients with SBP <130mmHg and DBP < 70mmHg. The results were consistent across subgroups of patients with or without proteinuria. There may not be advantage with aggressive blood pressure control in adults with CKD.
Recent months have identified a novel respiratory syndrome coronavirus (MERS-CoV) with possible human-to-human transmission by close direct contact. In this study, researcher’s modeled the infectivity of MERS-CoV based on WHO reports and published cased reports andestimate the basic reproductive number (R0, where a higher number suggest more transmitability) to be between 0.60 – 0.69, while the SARS-CoV R0 was 0.80. This suggests that there is low risk for pandemic potential, which is corroborated with case studies suggesting low infectivity.
By David Ouyang
© 2013 2minutemedicine.com. All rights reserved. No works may be reproduced without written consent from 2minutemedicine.com. Disclaimer: We present factual information directly from peer reviewed medical journals. No post should be construed as medical advice and is not intended as such by the authors or by 2minutemedicine.com. PLEASE SEE A HEALTHCARE PROVIDER IN YOUR AREA IF YOU SEEK MEDICAL ADVICE OF ANY SORT. Content is produced in accordance with fair use copyrights solely and strictly for the purpose of teaching, news and criticism. No benefit, monetary or otherwise, is realized by any participants or the owner of this domain.







