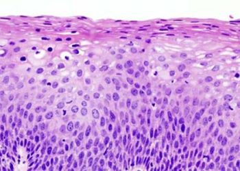
Cervical intraepithelial neoplasia grade 3 associated with adverse pregnancy outcomes
1. Compared to population- and sibling-matched cohorts, women previously diagnosed with cervical intraepithelial neoplasia grade 3 were more likely to ...
1. Compared to population- and sibling-matched cohorts, women previously diagnosed with cervical intraepithelial neoplasia grade 3 were more likely to ...
Pregnancy duration and endometrial cancer risk: nationwide cohort study Full-term pregnancies are strongly associated with a reduced risk of endometrial ...
2 Minute Medicine® is an award winning, physician-run, expert medical media company. Our content is curated, written and edited by practicing health professionals who have clinical and scientific expertise in their field of reporting. Our editorial management team is comprised of highly-trained MD physicians. Join numerous brands, companies, and hospitals who trust our licensed content.