Longitudinal data shows that the opioid epidemic may be worsening in Ontario, Canada
1. In a cross-sectional study, rates of opioid-related deaths were observed to rise among youths in Ontario, Canada between 2013-2021, ...
1. In a cross-sectional study, rates of opioid-related deaths were observed to rise among youths in Ontario, Canada between 2013-2021, ...
The Scan by 2 Minute Medicine® is a pop-culture medical newsletter and exclusive benefit for 2 Minute Medicine Plus subscribers. ...
1. In this prevalence-based estimation study of health care costs, the estimated direct cost of insufficient sleep in Canada in ...
1. The second wave of the COVID-19 pandemic in Canada was associated with increased depression, anxiety, and distress as compared ...
1. After adjusting for risk factors associated with survival, Canadian patients had a median age of survival that was 10 ...
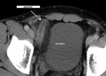
Image: PD 1. Rates of perforated appendicitis in Canada are lower than publicly or noninsured US children, but higher than ...
2 Minute Medicine® is an award winning, physician-run, expert medical media company. Our content is curated, written and edited by practicing health professionals who have clinical and scientific expertise in their field of reporting. Our editorial management team is comprised of highly-trained MD physicians. Join numerous brands, companies, and hospitals who trust our licensed content.